Home  About misconduct   中文  
 
  • Search
  • lucene Search
  • Citation
  • Fig/Tab
  • Adv Search
Just Accepted  |  Current Issue  |  Archive  |  Featured Articles  |  Most Read  |  Most Download  |  Most Cited

Chinese Journal of Stomatological Research(Electronic Edition) ›› 2008, Vol. 02 ›› Issue (05): 504-512. doi: 10.3877/cma.j.issn.1674-1366.2008.05.012

• Original Articles • Previous Articles     Next Articles

A comparison of prosthetic outcomes of screw and cement-retained implant-supported restorations in the posterior region

Sen-qing LIU1, Fei-long DENG1,(), Hui ZHANG1, Chenhan LIU1, Hua ZHANG1, Pei-fen ZHANG1   

  1. 1. Guanghua School of Stomatology, Inshtitute of Stomatological Research, Sun Yat-sen University, Guangzhou 510055, China
  • Received:2008-06-15 Online:2008-10-01 Published:2025-03-11
  • Contact: Fei-long DENG

Abstract:

Objectives

The purpose of this clinical study was to compare the short-term prosthetic outcomes of screw- and cement-retained implant-supported restorations after 1 year follow-up.

Methods

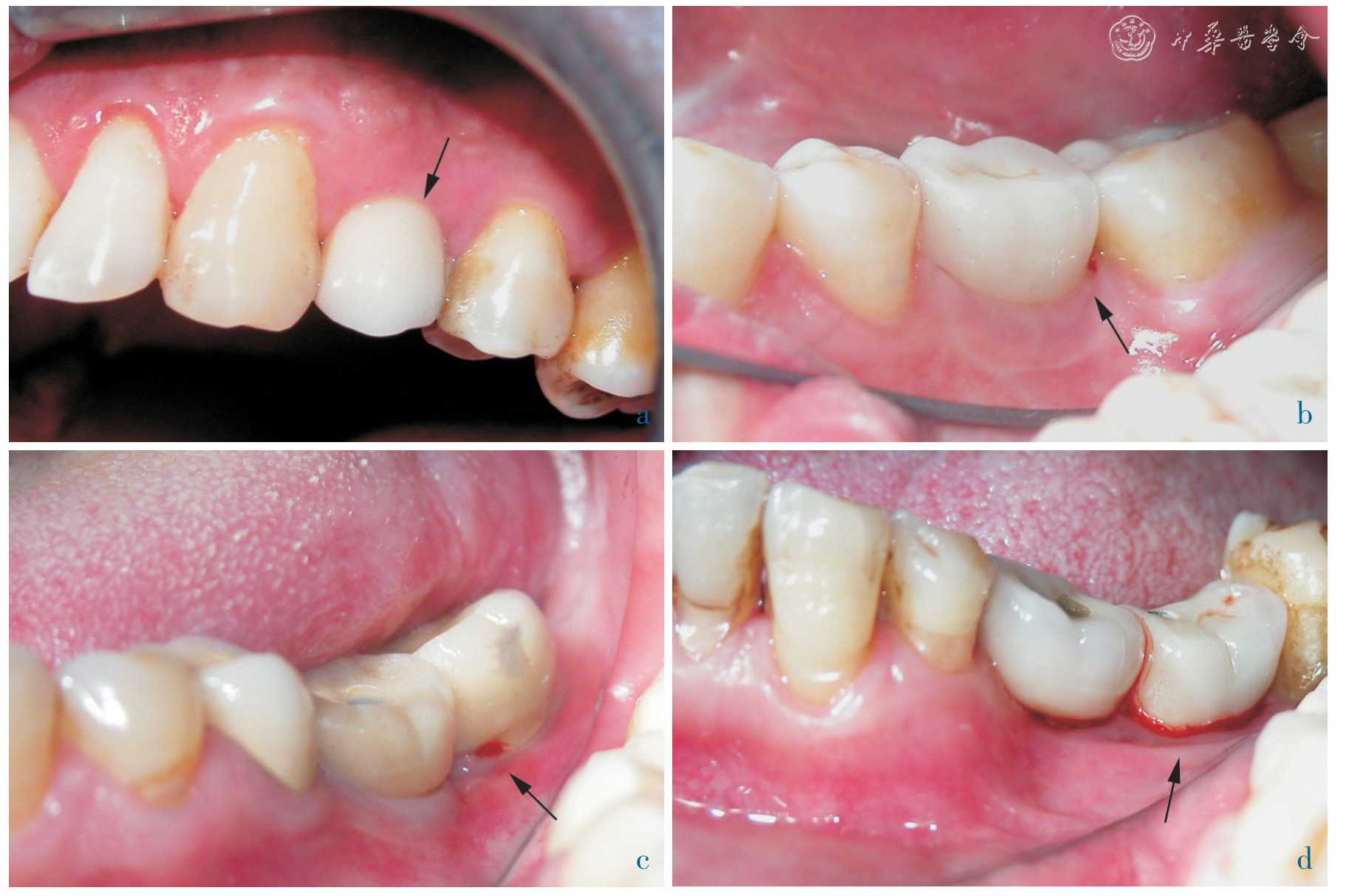
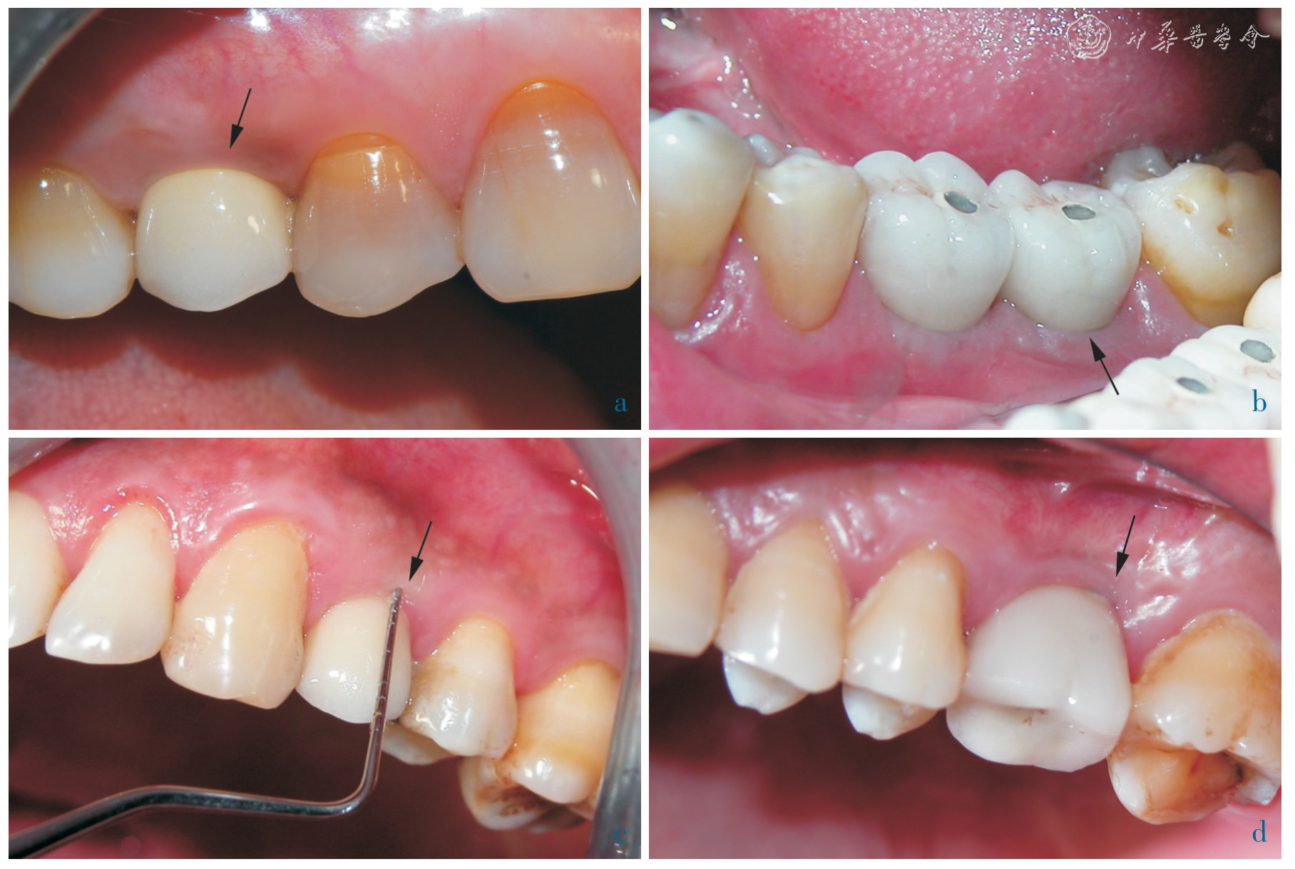
A total of 70 dental implants were placed in the posterior regions of 42 partially edentulous patients. 24 crowns were screw-retained, while 46 crowns were cementretained. Peri-implant marginal bone level, modified plaque index (mPLI), modified sulcus bleeding index (mSBI) and esthetic fulfillment were recorded at the 12 months recall after implant loading.

Results

The mean peri-implant marginal bone lost in screw-retained group and cementretained group were 0.78 mm and 0.68 mm, respectively. The median values of mPLI and mSBI were both 1 in screw-retained group, and also 1 in cement-retained group. The median scores of esthetic fulfillment were both 1 in screw-retained and cement-retained group. The differences of marginal bone resorption, peri-implant soft tissue condition and patient satisfaction between two groups were statistically not significant (P >0.05).

Conclusions

The short-term clinical outcomes of implant restorations are satisfactory, either screw-retained or cement-retained. The retention patterns seem to have few influences on the prosthetic outcomes of implant-supported restorations.

Key words: Screw-retained, Cement-retained, Implant-supported restoration

京ICP 备07035254号-28
Copyright © Chinese Journal of Stomatological Research(Electronic Edition), All Rights Reserved.
Tel: 020-87330582 E-mail: zhkqyxyj@163.com
Powered by Beijing Magtech Co. Ltd