Home  About misconduct   中文  
 
  • Search
  • lucene Search
  • Citation
  • Fig/Tab
  • Adv Search
Just Accepted  |  Current Issue  |  Archive  |  Featured Articles  |  Most Read  |  Most Download  |  Most Cited
Review

Advances of cone-beam computed tomography for diagnosis and treatment of endodontic problems

  • Shi-chao HENG 1 ,
  • Young CHENG , , 1 ,
  • Bo LI 1 ,
  • Li-zhen XIAO 1
Expand
  • 1.Department of Radiology,School of Stomatology, Wuhan University, Wuhan 430079, China

Received date: 2011-07-19

  Online published: 2025-02-20

Copyright

Copyright by Chinese Medical Association No content published by the journals of Chinese Medical Association may be reproduced or abridged without authorization. Please do not use or copy the layout and design of the journals without permission. All articles published represent the opinions of the authors, and do not reflect the official policy of the Chinese Medical Association or the Editorial Board, unless this is clearly specified.

Abstract

With the advantages of high resolution, rapid scan speed, low dose eduction,and reduced artifact, Cone-beam computed tomography (CBCT) is being widely used in dental practice. The aim of this article is to review the applications of CBCT in the management of endodontic problems.

Cite this article

Shi-chao HENG , Young CHENG , Bo LI , Li-zhen XIAO . Advances of cone-beam computed tomography for diagnosis and treatment of endodontic problems[J]. Chinese Journal of Stomatological Research(Electronic Edition), 2012 , 6(01) : 85 -92 . DOI: 10.3877/cma.j.issn.1674-1366.2012.01.014

近年来,随着口腔颌面锥形束CT(cone-beam computed tomography,CBCT)的研制成功及工作站相应软件不断完善,使牙科影像诊断有了飞跃发展。 高分辨率薄层扫描及工作站多种图像后处理软件的应用是传统牙片和全景片所不能媲美的。 目前,CBCT 已在口腔颌面外科手术、阻生牙定位、正畸疗效评价1、口腔种植、颞下颌关节病及牙体牙髓病等领域广泛应用2-4。本文就其原理、优势及其在牙体牙髓疾病诊治中的应用作一综述。

一、锥形束CT 原理

CBCT 自1996 年首次应用以来,经过近10 余年来的不断发展,已成为一种较成熟的口腔颌面部检查技术。 与普通CT 成像原理不同,CBCT 成像是利用二维平板探测器采集物体锥束射线投影数据的容积体层摄影,扫描时锥形X 射线束只需围绕患者旋转1 周,即可获取扫描区容积数据原始图像,并可在此基础上进行轴位、冠状位和矢状位的重建。 CBCT 与普通CT 的根本区别在于X 线源、影像探测器和数据采集方式不同,普通CT 扫描时患者常采取仰卧位,并采用扇形的X 线束成像,记录在呈360°排列于患者周围的固态线性接受器上,其X 线源是一种高输出的旋转阳极发生器,设备需要在持续的螺旋形运动中连续拍摄一系列的轴位图像,然后运用计算机后处理软件进行三维重建[3,5]。 而CBCT 依据生产厂家不同将X 线源发生器分为固定阳极和旋转阳极两种,其图像采集为大口径的锥形X 射线束,影像探测器可简单概括为两种类型,即平板型(基于互补性金属氧化物半导体或非晶硅薄膜晶体管)和非平板型(CCD 和影像增强器构成)。 两者主要区别在于X 线信号转换为电信号不同,工作过程中以脉冲或连续方式传送多平面影像信息。

二、锥形束CT 优势

由于普通CT 获得图像纵向分辨率低,容易产生阶梯状伪影,图像质量不够细腻,且放射剂量大,检查费用高等原因,在一定程度上限制了其在牙科的临床应用。 CBCT 作为一种新型高分辨率X 线成像系统, 它可以提供三维影像及任一方向的二维影像。 同时可根据需要对感兴趣区域设定不同断层方向,观察轴位、冠状位及矢状位的解剖图像,从而避免了解剖结构的重叠。 与普通CT 相比,它最大的优点是辐射剂量低、空间分辨率高6。 根据CBCT 机型号不同,其空间分辨率也不一样,本文中CBCT 的空间分辨率为0.125 mm,而普通CT 的空间分辨率为0.625 mm。 这是因为CBCT 具有很高的各向同性空间分辨力和有限的暴露区,Honda 等7试验认为CBCT 的各向同性的体素分辨率(真三维空间中,用以进行空间信息的数据记录、处理、表示等所采用的具有一定大小的最小体积单元)达到亚毫米的分辨率,范围为0.076 ~0.300 mm,一次扫描能分解成超过108 个均等立方体,通过计算机数据处理软件分析同时显示在横断面、冠状面、矢状面的图像,明显提高了图像的分辨率和精确度。 方冬等8对比研究了CBCT 重建牙体、牙周组织及颅骨结构的图像质量,结果显示,CBCT 图像的空间分辨率高、图像质量好,尤其适合颅面骨成像,且显示牙及牙周组织等细小解剖结构的能力高于普通CT,更适合口腔临床的需要。
随着科学的不断进步,人们生活水平的不断提高,许多临床医生和患者也越来越关注放射剂量可能引起的问题,而且能否在降低放射剂量的同时又不改变图像质量成为人们关注的焦点。 CBCT 依据扫描视野的大小,对患者的有效放射剂量从28 ~50 mSv 不等,相当于普通CT 机患者有效放射剂量的1/56 或投照2 ~7 张数字曲面体层片后患者所受到的有效放射剂量。 Hashimoto 等9运用锥束CT 和普通CT 对中切牙、第一磨牙进行投照,对比了影像上皮质骨、松质骨、牙釉质、牙本质、牙髓腔、牙周韧带等结构的精度,同时记录皮肤的照射剂量。 结果显示,CBCT 皮肤照射剂量为1.19 mSv,而普通CT 为458 mSv。Iwai 等10报道认为CBCT 的照射剂量甚至低于曲面体层片。 CBCT 曝光时间短(3.4 ~40 s),拍摄成本相对较低,但和普通CT 相比,投射范围较小,对软组织的分辨率低。

三、锥形束CT 在牙体牙髓疾病诊治中的应用

CBCT 自2001 年在美国开始试用,经过近3 年的临床实践,到2003 年已取得美国食品和药物管理局(FDA)的认可。 近年来,许多学者将CBCT 应用于牙体的临床和标本研究,认为其在牙体牙髓疾病诊治中用途广泛。
1. 正确判断根管数目: 根管数目的正确判断是根管治疗成功的主要因素之一。 Baratto Filho 等11采用体外研究、临床研究和CBCT 三种方法分析了上颌第一磨牙的根管解剖。 体外研究表明,140 颗离体牙中67.12%存在第四根管,其中1 例有7 个根管,存在第四根管的磨牙中92.58%第四根管位于近中颊根。 临床研究表明,53.26%及0.35%的磨牙分别存在4、5、6 个根管, 并且95.63%发生于近中颊根。 CBCT 研究表明,1.85%、37.05%、1.85%的磨牙分别存在2、4、5 个根管。 同时CBCT 对变异根管的发现和定位具有重要意义。 临床医师在根管治疗术前及术中可随时调用和调整CBCT 局部三维重建图像,从不同角度及层面观察根管的融合和分支情况,了解根管的形态、数目、走向、根尖处根管的位置是否融合等,是指导复杂根管系统牙齿治疗时的重要影像手段(图1 ~2)。
图1 CBCT 轴位显示左上颌第一磨牙5 个根管,其中侧支根管未根冲
图2 CBCT 轴位、VR 及MPR 重建冠、矢状位图像显示上颌中切牙变异根管
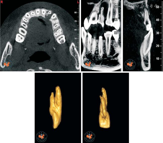
2. 观察牙根吸收情况:Tronstad12根据牙根吸收的起源部位将牙根吸收分为内吸收和外吸收,外吸收又根据不同临床表现分为炎症性外吸收、牙颈部外吸收和替代性外吸收。 早期牙根外吸收多无临床症状,X 线检查时才能发现。 由于根尖片只能显示相互重叠的二维影像,因此常不能清晰的显示吸收范围,难以准确评估牙根吸收的严重程度。 Estrela 等13报道指出根尖片识别牙根外吸收的假阴性率约为51.9%,假阳性率约为15.3%,尤其当病损位于颊侧或舌侧根面时,准确率更低。 而且,传统根尖片不能发现小于直径0.6 mm、深度0.3 mm的缺损。 CBCT 在很大程度上弥补了根尖片的缺点,其多层面重建(multiplannar reconstruction,MPR)技术可以显示病变的真实形态和部位,确定病变范围、破坏程度及周围牙槽骨的吸收状况,并可发现先前未发现的吸收缺损,有助于确定牙根吸收后的治疗规划,提高了患牙保存率(图3 ~4)。
图3 CBCT 轴位及MPR 重建显示上颌左、右第一磨牙牛牙症,其中左侧上颌第一磨牙根尖内吸收伴颊侧根折
图4 CBCT 轴位、VR、CPR 及MPR 重建冠、矢状位图像清晰显示根牙周病致牙根外吸收
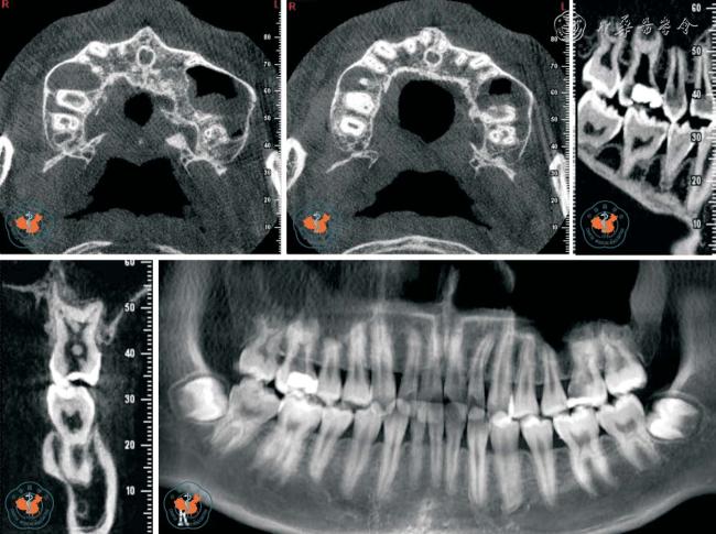
3. 对根管治疗术质量的评价:CBCT 图像可了解牙髓组织的解剖结构,特别是在复杂根管治疗前及术中,可以随时调用近远中向、冠根向、颊舌向的解剖图像,从不同的方向及断层进行切片分析,能够清晰地了解根管的形态,帮助根管治疗,使治疗更彻底,根管治疗后还可以用来监测根管治疗效果,减少了漏诊(图5)。
图5 CBCT 轴位、CPR 及MPR 重建冠、矢状位图像清晰显示上颌第一、二磨牙(牛牙症)
4. 对牙根折根裂诊断的意义:牙根折裂临床上分为纵折、横折及斜折三种类型。 在很多情况下,牙根折(特别是纵折)一般不易在根尖片上清楚显示,只表现为患根周围的牙周膜增宽,或出现J 形牙槽骨吸收,而看不到明显的根折线。 另外由于投照角度可影响X 线片的检出率,加上重叠的解剖关系干扰了读片医生的判断能力,因而早期患者经常存在漏诊。 而CBCT 则可以通过矢状面(近远中向)、冠状面(颊舌向)及水平面(冠根向)清晰的显示出根折线,同时清晰的显示出根折位置及类型,也可以对传统的根尖片疑似根折的病例用三维立体的图像进行直观的分析以明确诊断(图6)。 Hassan 等14研究显示,X 线与CBCT 对牙根纵裂的诊断能力,并评估根充材料对诊断牙根纵折的影响,结果显示CBCT 对诊断牙根纵裂的敏感度及特异度分别为79.4%与92.5%,根尖片发现牙根纵裂的敏感度及特异度分别为37.1%与95%,CBCT 检出牙根纵折的准确度明显高于根尖片。 另外,Hassan 还分析了根管充填材料对于牙根纵折检出的影响。 结果表明根充材料的存在降低了CBCT 的特异度,但未影响其准确率。 而对于根尖片,根充材料的存在既降低了其敏感度,也对其准确率造成了影响。 尽管CBCT 有上述优势, 但应注意致密根充材料和金属桩核在CBCT 图像中造成的高低密度混杂的放射状伪影,会产生与根裂纹相似的影像,应仔细辨别,以防误诊15
图6 CBCT 轴位、VR 及MPR 重建冠、矢状位图像清晰显示根折线
5. 诊断根管侧壁穿孔:Young16报道,对普通根尖片不能诊断根管侧壁穿孔的病例用CBCT 进行分析,发现CBCT 图像显示根管侧壁穿孔明显,有助于早诊断、早治疗,提高治疗效果。 Lofthag-Hansen 等17也指出,CBCT 较根尖片对根管侧壁穿孔的诊断率较高。 另外,传统牙片显示根管充填良好,未见侧壁穿孔,牙胶尖定位显示窦道来源于牙根侧方,通过CBCT 影像分析,发现根管侧壁穿孔位置,行穿孔修补术后,疗效良好(图7)。
图7 CBCT 轴位、MPR 及VR 重建上颌中切牙清晰显示根管侧壁穿孔
6. 牙髓病治疗失败原因的评价:根管充填不严密、超充、遗漏根管、器械断入是牙体牙髓疾病治疗失败的主要原因。 而普通口内X 线摄片常因采用不同角度投照,胶片、牙齿、X 线球管三点不能垂直在一条直线上,往往使图像相互重叠,不能清晰显示牙根走向、细小根管弯曲程度,对临床医生有误导作用,致使根管治疗后仍有反复肿胀等症状。 通过对根管治疗后仍有症状的牙体牙髓病患者行CBCT 检查,运用三维成像技术对患牙进行多层面分析,均明确病因,提高了根管治疗的成功率18,见图8 ~9。
图8 CBCT 轴位、CPR 及MIP 重建显示左侧中切牙后方舌侧骨板因左上尖牙超充引起继发感染
图9 CBCT 轴位及MIP 重建显示右上颌6 近中根管有高密度异物(断针位于右上颌6 近中根管内)
综上所述,CBCT 在诊断牙体牙髓疾病时具有明显的优势,优于传统根尖片,可以在临床推广应用。
1
Kau CH, Richmond S, Palomo JM, et al. Three-dimensional cone beam computerized tomography in orthodontics. J Orthod, 2005,32(4):282-293.

2
Guerrero ME, Jacobs, Loubele M, et al. State-of-the-art on cone beam CT imaging for preoperative planning of implant placement. Clin Oral Investig, 2006,10(1):1-7.

3
Hatcher DC, Dial C, Mayorga C. Cone beam CT for pre-surgical assessment of implant sites. J Calif Dent Assoc,2003,31(11):825-833.

4
Kobayashi K, Shimoda S, Nakagawa Y, et al. Accuracy in measurement of distance using limited cone-beam computerized tomography.Int J Oral Maxillofac Implants,2004,19(2):228-231.

5
Arai Y, Honda K, lwai K, et al. Practical model “3DX” of limited cone-beam X-ray CT for dental use. Int Conger Ser, 2001,1230(7):713-718.

6
Patel S, Dawood A, Ford TP, et al. The potential applications of cone beam computed tomography in the management of endodontic problems. Int Endod J,2007,40(10):818-830.

7
Honda K, Arai Y, Iwai K, et al. Fundamental Efficiency of new-style limited-cone-beam CT(3DX). Comparison with Helical CT. J Tomogr,2000,27(4):193-198.

8
方冬,赵堃,袁宪顺,等. Implagraphy 牙颌面锥形束CT 与多层螺旋CT 的图像质量对比研究. 中华老年口腔医学杂志, 2008,6(4):226-229.

9
Hashimoto K, Arai Y, Iwai K, et al. A comparison of a new limited cone beam computed tomography machine for dental use with a multidetector row helical CT machine. Oral Surg Oral Med Oral Pathol Oral Radiol Endod, 2003,95(3):371-377.

10
Iwai K, Arai Y, Hashimoto K, et al. Estimation of effective dose from limited cone beam X-ray CT examination. 歯科放射線, 2000,40(4):25l-259.

11
Baratto Filho F, Zaitter S, Haragushiku GA, et al. Analysis of the internal anatomy of Maxillary first Molars by using different Methods. J Endod, 2009,35(3):337-342.

12
Tronstad L. Root resorption-etiology, terminology and clinical manifedtations. Endod Dent Traumatol, 1988,4(6):241-252.

13
Estrela C, Bueno MR, De Alencar AH, et al. Method to evaluate inflammatory root resorption by using cone beam computed tomography. J Endod, 2009,35(11):1491-1497.

14
Hassan B, Metska ME, Ozok AR, et al. Detection of vertical root fractures in endodontically treated teeth by a cone beam computed tomography scan. J Endod, 2009,35(5):719-722.

15
Cotton TP, Geisler TM, Holden DT, et al. Endodontic Applications of cone-beam volumetric tomography. J Endod, 2007,33(9):1121-1132.

16
Young GR. Contemporary management of lateral root perforation diagnosed with the aid of dental computed tomography. Aust Endod J,2007,33(3):112-118.

17
Lofthag-Hansen S, Huumonen S, Grondahl K, et al. Limited cone-beam CT and intraoral radiography for the diagnosis of periapical pathology. Oral Surg Oral Med Oral Pathol Oral Radiol Endod, 2007,103(1):114-119.

18
Melo SL, Bortoluzzi EA, Abreu M Jr, et al, Diagnostic ability of a cone-beam computed tomography scan to assess longitudinal root fractures in prosthetically treated teeth. J Endod, 2010,36(11):1879-1882.

Outlines

/

京ICP 备07035254号-28
Copyright © Chinese Journal of Stomatological Research(Electronic Edition), All Rights Reserved.
Tel: 020-87330582 E-mail: zhkqyxyj@163.com
Powered by Beijing Magtech Co. Ltd