切换至 "中华医学电子期刊资源库"

中华口腔医学研究杂志(电子版) ›› 2025, Vol. 19 ›› Issue (06) : 400 -404. doi: 10.3877/cma.j.issn.1674-1366.2025.06.008

病例分析

巨大骨化纤维瘤合并动脉瘤样骨囊肿1例
侯承素1, 张野1, 王健1, 史敬存2, 殷玉兰1, 王磊1,2,()   
  1. 1上海市奉贤区奉城医院口腔颌面-头颈肿瘤科,上海 201411
    2上海交通大学医学院附属第九人民医院口腔颌面-头颈肿瘤科,上海交通大学口腔医学院,国家口腔医学中心,口腔疾病国家临床医学研究中心,上海市口腔医学重点实验室,上海市口腔医学研究所,上海 200011
  • 收稿日期:2025-06-21 出版日期:2025-12-01
  • 通信作者: 王磊

Case analysis of huge ossified fibroma combined with aneurysmal bone cyst

Chengsu Hou1, Ye Zhang1, Jian Wang1, Jingcun Shi2, Yulan Yin1, Lei Wang1,2,()   

  1. 1Department of Oromaxillofacial Head and Neck Oncology, Fengcheng Hospital, Shanghai 201411, China
    2Department of Oromaxillofacial Head and Neck Oncology, Shanghai Ninth People′s Hospital, Shanghai Jiao Tong University School of Medicine; College of Stomatology, Shanghai Jiao Tong University; National Center for Stomatology; National Clinical Research Center for Oral Diseases; Shanghai Key Laboratory of Stomatology; Shanghai Research Institute of Stomatology, Shanghai 200011, China
  • Received:2025-06-21 Published:2025-12-01
  • Corresponding author: Lei Wang
  • Supported by:
    Scientific Research Project of Shanghai Municipal Health Commission(202340135)
引用本文:

侯承素, 张野, 王健, 史敬存, 殷玉兰, 王磊. 巨大骨化纤维瘤合并动脉瘤样骨囊肿1例[J/OL]. 中华口腔医学研究杂志(电子版), 2025, 19(06): 400-404.

Chengsu Hou, Ye Zhang, Jian Wang, Jingcun Shi, Yulan Yin, Lei Wang. Case analysis of huge ossified fibroma combined with aneurysmal bone cyst[J/OL]. Chinese Journal of Stomatological Research(Electronic Edition), 2025, 19(06): 400-404.

本病例报道了1例罕见的、累及范围广泛的青少年巨大下颌骨骨化纤维瘤(OF),继发显著的动脉瘤样骨囊肿(ABC)形成。其临床表现典型(颌面变形、神经损伤),影像学及病理诊断明确。通过精心的术前栓塞和复杂的根治性切除联合显微血管吻合的游离皮瓣重建,患者获得了良好的近期治疗效果。

This case report describes a rare and widespread ossifying fibroma of the mandible in adolescents, secondary to significant aneurysmal bone cyst formation. Its clinical manifestations are typical (maxillofacial deformity, nerve injury), and the imaging and pathological diagnoses are clear. Through meticulous preoperative embolization and complex radical resection combined with microvascular anastomosis for free flap reconstruction, the patient achieved a good short-term therapeutic outcome.

图1 巨大骨化纤维瘤(OF)合并动脉瘤样骨囊肿(ABC)患者术前照片 A:侧面照;B:手术切口设计。
图4 巨大骨化纤维瘤(OF)合并动脉瘤样骨囊肿(ABC)患者手术过程照片 4A:术中;4B:手术切除的原发灶;4C:缝合后正面观。
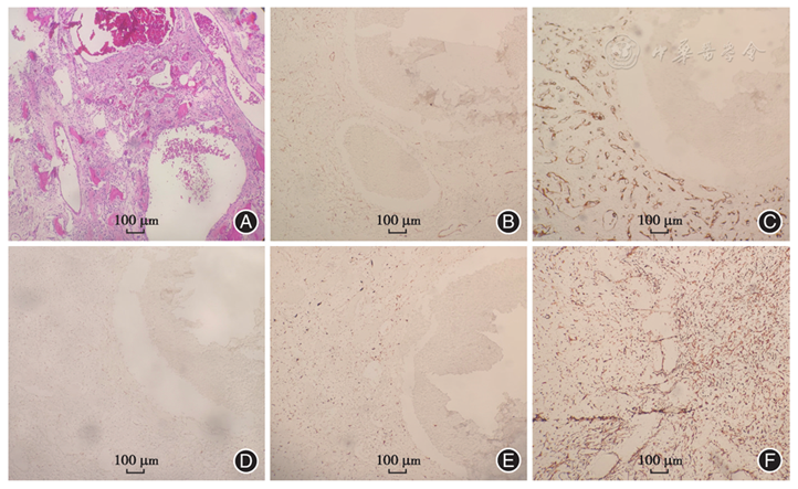
图5 巨大骨化纤维瘤(OF)合并动脉瘤样骨囊肿(ABC)患者病理及免疫组化结果 A:肿物标本镜下观(苏木精-伊红);B:CD31阴性(免疫组化);C:EST相关基因(ERG)阳性(免疫组化);D:平滑肌肌动蛋白(SMA)阳性(免疫组化);E:CD34阳性(免疫组化);F:葡萄糖磷酸变位酶1(PGM1)阳性(免疫组化)。
图6 巨大骨化纤维瘤(OF)合并动脉瘤样骨囊肿(ABC)患者术后随访图像资料 A:术后2周正面像;B:术后3个月复查正面像;C:术后半年复查正面像;D:术后1年复查正面像;E:术后1年复查磁共振影像。
[1]
Chong VF, Tan LH. Maxillary sinus ossifying fibromas[J]. Am J Otolaryngol199718(6):419-424. DOI:10.1016/s0196-0709(97)90065-x.
[2]
Gautier B, Dugast S, Guyonvarc'h P, et al. Ossifying fibroma and juvenile ossifying fibroma:A systematic review on clinical and radiological parameters,treatment modalities and recurrence[J]. J Stomatol Oral Maxillofac Surg2024126(4):102185. DOI:10.1016/j.jormas.2024.102185.
[3]
Chrcanovic BR, Gomez RS. Juvenile ossifying fibroma of the jaws and paranasal sinuses:A systematic review of the cases reported in the literature[J]. Int J Oral Maxillofac Surg202049(1):28-37. DOI:10.1016/j.ijom.2019.06.029.
[4]
Kaur T, Dhawan A, Bhullar RS, et al. Cemento-ossifying fibroma in maxillofacial region:A series of 16 cases[J]. J Maxillofac Oral Surg202120(2):240-245. DOI:10.1007/s12663-019-01304-y.
[5]
Richardson J, Litman E, Stanbouly D, et al. Aneurysmal bone cyst of the head & neck:A review of reported cases in the literature[J]. J Stomatol Oral Maxillofac Surg2022123(1):59-63. DOI:10.1016/j.jormas.2021.01.014.
[6]
van Geloven TPG, van de Sande MAJ, van der Heijden L. The treatment of aneurysmal bone cysts[J]. Curr Opin Pediatr202335(1):131-137. DOI:10.1097/MOP.0000000000001205.
[7]
Sbaraglia M, Bellan E, Dei Tos AP. The 2020 WHO classification of soft tissue tumours:News and perspectives[J]. Pathologica2021113(2):70-84. DOI:10.32074/1591-951X-213.
[8]
Collins LHC, Zegalie NFT, Sassoon I, et al. A clinical,radiological and histopathological review of 74 ossifying fibromas [J]. Head Neck Pathol202317(2):433-446. DOI:10.1007/s12105-022-01522-w.
[9]
Radzki D, Szade J, Nowicki T, et al. Juvenile psammomatoid ossifying fibroma[J]. Pol J Pathol202172(3):277-281. DOI:10.5114/pjp.2021.111779.
[10]
Speight PM, Takata T. New tumour entities in the 4th edition of the World Health Organization Classification of Head and Neck tumours:Odontogenic and maxillofacial bone tumours [J]. Virchows Arch2018472(3):331-339. DOI:10.1007/s00428-017-2182-3.
[11]
Darling M, Li K, Burnside K, et al. Immunohistochemical characterization of gingival fibromas[J]. Head Neck Pathol202317(2):355-363. DOI:10.1007/s12105-022-01493-y.
[12]
Toyosawa S, Yuki M, Kishino M, et al. Ossifying fibroma vs fibrous dysplasia of the jaw:Molecular and immunological characterization[J]. Mol Pathol200720(3):389-396. DOI:10.1038/modpathol.3800753.
[13]
Brooks PJ, Chadwick JW, Caminiti M, et al. Primary aneurysmal bone cyst of the mandibular condyle with USP6-CDH11 fusion [J]. Pathol Res Pract2019215(3):607-610. DOI:10.1016/j.prp.2018.10.038.
[14]
Sarode SC, Sarode GS, Ingale Y, et al. Recurrent juvenile psammomatoid ossifying fibroma with secondary aneurysmal bone cyst of the maxilla:A case report and review of literature[J]. Clin Pract20188(3):1085. DOI:10.4081/cp.2018.1085.
[15]
Tamgadge S, Avinash T, Bhalerao S, et al. Juvenile psammomatoid ossifying fibroma with aneurysmal bone cyst in the posterior mandible[J]. Ecancermedicalscience20148:471. DO1:10.3332/ecancer.2014.471.
[16]
Arora SS, Paul S, Arora S, et al. Secondary jaw aneurysmal bone cyst (JABC):A possible misnomer? A review of literature on secondary JABCs,their pathogenesis and oncogenesis [J]. J Oral Pathol Med201443(9):647-651. DOI:10.1111/jop.12132.
[17]
Sun ZJ, Sun HL, Yang RL, et al. Aneurysmal bone cysts of the jaws[J]. Int J Surg Pathol200917(4):311-322. DOI:10.1177/1066896909332115.
[18]
Smith SF, Newman L, Walker DM, et al. Juvenile aggressive psammomatoid ossifying fibroma:An interesting,challenging,and unusual case report and review of the literature[J]. J Oral Maxillofac Surg200967(1):200-206. DOI:10.1016/j.joms.2007.12.009.
[19]
Mankin HJ, Hornicek FJ, Ortiz-Cruz E, et al. Aneurysmal bone cyst:A review of 150 patients[J]. J Clin Oncol200523(27):6756-6762. DOI:10.1200/JCO.2005.15.255.
[20]
Al-Sharhan SS, Ashoor MM, Al-Nemer AM. Psammomatoid ossifying fibroma of the ethmoid sinus with secondary intracranial aneurymal bone cyst:A case report and literature review[J]. Saudi J Med Med Sci20164(2):125-128. DOI:10.4103/1658-631X.178350.
[21]
Boriani S, Iure FD, Campanacci L, et al. Aneurysmal bone cyst of the mobile spine:Report on 41 cases[J]. Spine200126(1):27-35. DOI:10.1097/00007632-200101010-00007.
[22]
朱文静,张春叶,王韶颖,等. 颌骨骨化纤维瘤合并动脉瘤样骨囊肿的临床和影像学特征[J]. 放射学实践201833(4):409-413. DOI:10.13609/j.cnki.1000-0313.2018.04.017.
[23]
Restrepo R, Zahrah D, Pelaez L, et al. Update on aneurysmal bone cyst:Pathophysiology,histology,imaging and treatment [J]. Pediatr Radiol202252(9):1601-1614. DOI:10.1007/s00247-022-05396-6.
[24]
李亚卓. USP6基因介导的肿瘤临床病理及分子病理学分析[C]//中国抗癌协会肿瘤标志专业委员会,南京医科大学. 2024中国肿瘤标志物学术大会暨CACA整合肿瘤学高峰论坛暨第十七届肿瘤标志物青年科学家论坛暨中国肿瘤标志物产业创新大会论文集.南京,2024. DOI:10.26914/c.cnkihy.2024.005677.
[25]
Toferer A, Truschnegg A, Kashofer K, et al. First presentation of a frameshift mutation in the SETD2 gene of a juvenile psammomatoid ossifying fibroma (JPOF) associated with an aneurysmal bone cyst [J]. Diagn Pathol202116(1):91. DOI:10.1186/s13000-021-01160-w.
[1] 杨娟, 杜雪, 田旺, 吕文杰, 杨媛媛, 尹宗智. 子宫动脉栓塞术对阴道分娩后胎盘滞留及合并胎盘植入患者清宫术治疗胎盘滞留的疗效分析[J/OL]. 中华妇幼临床医学杂志(电子版), 2025, 21(01): 114-121.
[2] 麦子结, 曾学晴, 张乾升, 刘永达. 输尿管软镜术后严重出血治疗的初步探索[J/OL]. 中华腔镜泌尿外科杂志(电子版), 2024, 18(04): 366-371.
[3] 潘兴赫, 董翔, 杨海洋, 张雪斌, 甘卫东. 超选择性前列腺动脉栓塞治疗伴急性尿潴留的高危高龄前列腺增生[J/OL]. 中华腔镜泌尿外科杂志(电子版), 2024, 18(03): 237-242.
[4] 蒋佩伶, 庞娅, 刘云, 陈娇. 经皮椎体成形术致双肺动脉及右房右室骨水泥栓塞一例[J/OL]. 中华肺部疾病杂志(电子版), 2025, 18(01): 184-186.
[5] 张艺, 任秀君, 郭孟玮, 赵雅芳, 李一凡, 李佳阳, 任晓暄, 邬继红, 卢海洋. 电针预处理对脑缺血再灌注大鼠行为学及外周血内皮祖细胞的影响[J/OL]. 中华神经创伤外科电子杂志, 2024, 10(02): 71-77.
[6] 谢强, 解银立, 王黎洲. 动脉栓塞术用于良性前列腺增生治疗的现状讨论与展望[J/OL]. 中华介入放射学电子杂志, 2025, 13(02): 164-169.
[7] 皇甫啸天, 王翔, 苏浩波. 介入治疗在肠系膜上动脉栓塞中的应用[J/OL]. 中华介入放射学电子杂志, 2025, 13(02): 170-174.
[8] 吕丽爱, 赖林强, 张登科. 罕见髂外动脉起源子宫动脉相关的产后出血一例[J/OL]. 中华介入放射学电子杂志, 2025, 13(02): 190-192.
[9] 姜国松, 王佳, 谢万木, 李云, 李金萍, 黄强. 支气管动脉栓塞术后并发症及其预防和处理[J/OL]. 中华介入放射学电子杂志, 2025, 13(01): 1-6.
[10] 赵雅静, 严海涛, 张金星, 茅矛, 刘圣, 施海彬, 祖庆泉. 呼吸康复在支气管扩张伴咯血患者经动脉栓塞术后的疗效研究[J/OL]. 中华介入放射学电子杂志, 2025, 13(01): 14-17.
[11] 马惠军, 赵晓慧, 徐蕾, 何子寅, 杨楠, 李艾, 牛洪涛, 杜彪. 低剂量支气管动脉CT 血管造影在支气管动脉栓塞术前的可行性研究[J/OL]. 中华介入放射学电子杂志, 2025, 13(01): 23-28.
[12] 朱洪申, 王思权, 彭靓, 张晓斌, 郑美云, 陈锦华. Glubran-2栓塞治疗鼻咽癌相关难治性鼻出血的临床疗效[J/OL]. 中华介入放射学电子杂志, 2024, 12(04): 333-337.
[13] 赖海洋, 吴可通, 刘洋, 李丹, 彭焘, 万源, 张波. 术前经动脉栓塞在椎体转移瘤切除术中的应用[J/OL]. 中华介入放射学电子杂志, 2024, 12(04): 327-332.
[14] 王卫明, 张艺菲, 陈炜, 秦浩, 杨宇光, 王俊, 王琴, 夏莹, 施博文, 董宇超, 白冲, 黄海东. 左主支气管动脉肺静脉瘘致气道狭窄及反复咯血一例[J/OL]. 中华介入放射学电子杂志, 2024, 12(04): 323-326.
[15] 郭亚潘, 孙敬, 孙鹏程, 张鑫, 朱碧云, 李智, 倪才方. 超选择栓塞治疗急性肾出血及CT血管成像在显示责任血管中的作用[J/OL]. 中华介入放射学电子杂志, 2024, 12(02): 155-160.
阅读次数
全文


摘要


AI


AI小编
你好!我是《中华医学电子期刊资源库》AI小编,有什么可以帮您的吗?